Spacing
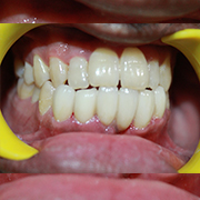
Diastema is a space or gap between two teeth. The term is most commonly applied to an open space between the upper incisors (front teeth).

Cause
Diastema occurs when there is an unequal relationship between the size of the teeth and the jaw. It is sometimes caused or exacerbated by the action of a labial frenulum (the tissue connecting the lip to the gum),by tongue thrusting or spreading of teeth due to periodontal diseases.
Treatment
There are two options of treating diastema or spacing in between the teeth:
First involves orthodontically moving the teeth(braces) and this line of treatment usually requires 10-12 months for correction.
Second involves placement of porcelain veneers or metal free crowns.
Porcelain veneers are eggshell thin pieces of porcelain applied directly over the tooth structure after some initial tooth preparation. Once the porcelain veneers are fused to the underlying tooth structure, they can reestablish the look of straight teeth and can close spaces without the use of braces. Additionally, the color, shape, and size of the teeth can be altered to the wishes of the patient for overall smile enhancement. And the greatest advantage of porcelain veneers is that the treatment can be completed in only two painless visits.
First involves orthodontically moving the teeth(braces) and this line of treatment usually requires 10-12 months for correction.
Second involves placement of porcelain veneers or metal free crowns.
Porcelain veneers are eggshell thin pieces of porcelain applied directly over the tooth structure after some initial tooth preparation. Once the porcelain veneers are fused to the underlying tooth structure, they can reestablish the look of straight teeth and can close spaces without the use of braces. Additionally, the color, shape, and size of the teeth can be altered to the wishes of the patient for overall smile enhancement. And the greatest advantage of porcelain veneers is that the treatment can be completed in only two painless visits.


FAQs
Gaps between the teeth can be closed by either pulling the teeth together with braces orthodontically or cosmetically by placing porcelain laminates, lumineers or metal free crowns. If only spacing is a problem then either of it is a good option; however if teeth are malformed or missing resulting in the presence of gaps then directly going in for cosmetic correction is a more viable option.
It is an artistic method to align your teeth and beautify your smile. In this we design the crowns so as to close the gaps between the teeth. Laminates and Lumineers are relatively non invasive methods of achieving gap closure along with change in colour and shape of the teeth when the teeth are perfectly aligned.
Orthodontically correcting the teeth requires 7-8months while cosmetic correction is achieved within 7-10 days.
The cost depends on the type and quality of materials involved. You can visit the treatment charges section and crowns/dental laminates sections for further information.
As we numb the tissues and then the teeth during the procedure and you will be leaving the dental clinic with temporaries there is no fear of pain either during or after the procedure.
All cosmetic treatments involve CAD CAM technology and metal free materials (porcelain/zirconia) that ensure precise fit and translucency (naturality).
Cosmetic dentistry requires thorough knowledge of the esthetic principles, a keen eye for esthetics and knowledge of handling superior materials such as rubber base, light body, bonding cements etc that play a key role in the outcome. Also, the art involves expertise in methodical sequencing of treatment to reduce the no. of visits and providing esthetics without compromising the integrity of the tooth. Hence, a Master’s degree and high experience of the concerned dentist are always recommended.
YES. The crowns/ laminates are permanently bonded onto the teeth.

09594785337
ksheeban95@gmail.com
Timing : 9 AM to 9 PM
Main Branch
