Dental Laminates
If you’ve ever wondered why so many individuals in public life have such perfect smiles, you might be surprised to find out how many of them have had cosmetic dental work!
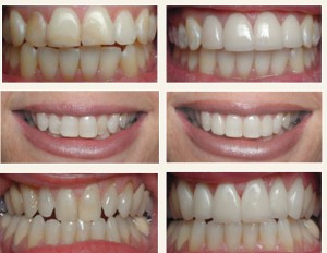
One way that we can make your smile more attractive is to place porcelain laminate veneers or jacket crowns. Porcelain veneers are translucent, thin laminates made to improve the aesthetics (shape, spacing, color) of natural teeth, to correct crowding, or to replace composite bonding
One way that we can make your smile more attractive is to place porcelain laminate veneers or jacket crowns. Porcelain veneers are translucent, thin laminates made to improve the aesthetics (shape, spacing, color) of natural teeth, to correct crowding, or to replace composite bonding



If the alignment and bite is not ideal for laminates ,metal free jacket crowns are a better long term maintenance free option. Your dentist should be the better judge of that.
Procedure
During the first consult, your x-rays and visual inspection along with the time available for the treatment determine the course of treatment – Porcelain, Lumineers or veneers or jacket crowns, pre-cosmetic orthodontic correction followed by laminates.
Please visit the crown and bridges section for the details of the process.
Please visit the crown and bridges section for the details of the process.
Time Required
Time taken depends on the overall process – inclusive or exclusive of orthodontics. The time taken for laminates procedure as such is around a week.
Treatment Charges
Porcelain Laminates/Crowns usually average for Rs10,000 to Rs12,000 per tooth.
FAQ's
Dental Laminates do not make your teeth weaker, in fact they strengthen by protecting them from further decay as well as other damages. Fragile teeth can be dangerous as they can chip off anytime. With laminates around the teeth, it will make the teeth stronger with bonding.
Dental laminates are a permanent solution. They last up to 7 to 20 years. Good oral hygiene is must for the feasibility and longevity of the dental laminates.
Yes it is easy! Maintenance of Dental Laminates is no different from your everyday oral hygiene routine! Continue brushing, flossing and keeping up with your regular check up with Dental Trust, apart from these, no other special maintenance is required.
No! Dental Laminates never stain. Dental Laminates have polished surfaces, making them resistant to staining. You can have any kind of food without having to worry about getting your teeth stained!
The procedure is absolutely pain free, once the numbness has taken its effect! After the Local Anaesthesia is administered, there will be numbness making the entire procedure pain free.
If the alignment and bite is not ideal for laminates ,metal free jacket crowns are a better long term maintenance free option. Your dentist should be the better judge of that.
Dental laminates are extensively used to change the shape and colour of the teeth as desired. Excessive change of positions of the teeth can be achieved by planning jacket crowns or pre-cosmetic orthodontics.

09594785337
ksheeban95@gmail.com
Timing : 9 AM to 9 PM
Main Branch
